пн-пт: 8:00 - 20:00
сб: 8:00 - 18:00

Когда не сдаются даже при отсутствии эндометрия: случай из практики врача Ирины Холодян

Автор:
Холодян Ирина Ярославовна
Дата створення: 22.12.2025
Дата оновлення: 16.01.2026

Мы хотим познакомить вас с очень сложным, но в то же время чрезвычайно мотивирующим клиническим случаем из практики врача Ирины Холодян.

Это история пациентки, которая приехала к нам из Харькова. Ей 28 лет, и ее единственным запросом было — забеременеть самостоятельно, несмотря на все медицинские ограничения.

Исходные данные: синдром Ашермана и практически нулевые шансы

В анамнезе пациентки:

  • одни роды;
  • прерывание беременности, которое привело к травматизации базальной мембраны эндометрия и формированию синдрома Ашермана.

Наступление беременности при синдроме Ашермана считается практически невозможным.

Что такое синдром Ашермана?

Синдром Ашермана — это осложнение, которое возникает после механического повреждения базального слоя эндометрия.

В результате:

  • эндометрий не способен нормально нарастать;
  • в полости матки формируются синехии (спайки);
  • нарушается рецептивность эндометрия.

Принципиальная позиция пациентки

Пациентка категорически отказывалась от суррогатного материнства.

Она была готова:

  • к длительной подготовке;
  • к нестандартным подходам;
  • к экспериментальным методам — лишь бы получить шанс выносить беременность самостоятельно.

Предыдущие вмешательства и начало лечения

До обращения к нам пациентка уже перенесла:

  • две гистероскопии с рассечением синехий;
  • после чего в полость матки была установлена спираль типа Мирена.

Я приняла решение:

  • удалить спираль;
  • провести контрольное ультразвуковое исследование;
  • начать гормонозаместительную терапию.

Данные УЗИ и дальнейшая тактика

При ультразвуковом исследовании мы наблюдали:

  • крайне неоднородный эндометрий;
  • локальные участки минимального роста;
  • общее отсутствие полноценной структуры.

Было принято решение о повторной гистероскопии.

Экспериментальный этап: субэндометриальное введение экзосом

После гистероскопии я предложила применить субэндометриальное введение экзосом.

Да, это метод экспериментальной медицины, но:

  • в течение года моей практики с другими пациентками;
  • ни одного осложнения зафиксировано не было;
  • положительные клинические кейсы уже существовали.

Цель — стимулировать регенерацию эндометрия.

Первые признаки надежды: реакция эндометрия

Эндометрий начал реагировать.

Да, его толщина все еще была недостаточной, но впервые мы увидели:

  • улучшение структуры;
  • формирование тонкого, но трехслойного эндометрия;
  • ответ как на гормональную терапию, так и на экзосомы.

Это был тот момент, когда на экране УЗИ появилась надежда.

Пять месяцев подготовки и решение о переносе

В течение пяти месяцев мы постепенно готовили пациентку к переносу эмбриона.

Наилучший вид эндометрий имел именно на фоне стимуляции, поэтому мы выбрали модифицированный цикл:

  • небольшие дозы гонадотропинов;
  • рост 2–3 фолликулов;
  • каждый фолликул продуцировал эстрадиол, стимулируя эндометрий.

В цикле сформировалось три фолликула.

Ключевой момент: перенос при толщине эндометрия 5,8 мм

На момент доминантных фолликулов толщина эндометрия составляла 5,8 мм.

Да, это мало. Но:

  • эмбрионов было достаточно;
  • у нас был генетически протестированный здоровый эмбрион;
  • было принято решение рискнуть.

Мы выполнили перенос одного эуплоидного эмбриона.

Ожидание и подтверждение беременности

Через 7 дней пациентка прислала тест — слабоположительный.

С учетом триггера ХГЧ это могло быть:

  • либо остаточное действие препарата;
  • либо ложноположительный результат.

Но с каждым днем тесты становились ярче.

Мы получили желанную беременность.

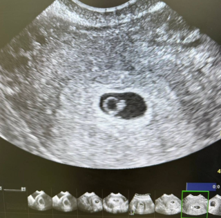
На УЗИ:

  • визуализируется эмбрион;
  • определяется сердцебиение.

Через две недели — прогрессирующая маточная беременность. Пациентка выписана под наблюдение женской консультации.

Заключение врача

Я решила поделиться этим клиническим случаем, потому что он очень показателен.

Он доказывает:

  • сдаваться нельзя;
  • толщина эндометрия — показатель субъективный;
  • ключевую роль играют рецептивность эндометрия и качество эмбриона.

Даже при гипопластическом эндометрии возможно достичь главного результата — собственной беременности.

Приходите
на консультацию
Запись на приём
0 800 504 205