пн-пт: 8:00 - 20:00
сб: 8:00 - 18:00
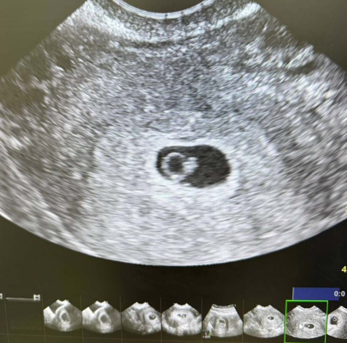
Євген — лікар реабілітаційної та фізичної медицини, Наталя — економіст. Подружжя з Миколаєва протягом трьох років намагалося стати батьками…
02.04.2026
У серпні 2024 року переможцями соціального проєкту «Лелека прилетить» стали Тетяна та Костянтин із Хмельницької області. Їх лікарем у програмі була Ірина Холодян.…
02.04.2026
В січні цього року народила наша пацієнтка. Випадок настання вагітності, а також те, що вона її виносила до 38–39-тижневого терміну і шляхом планового кесаревого розтину народила здорового гарненького хлопчика, можемо вважати нашою спільною, акушерів-гінекологів, репродуктологів та лікарів суміжних спеціальностей (ендокринолога, гематолога, терапевта), перемогою.…
05.03.2026
Тривале безпліддя є складним випробуванням для подружніх пар і часто супроводжується поєднанням кількох гінекологічних патологій. Сучасні програми екстракорпорального запліднення дозволяють досягати вагітності навіть у клінічно складних випадках, зокрема в межах державної програми НСЗУ.…
26.02.2026
Денис та Ірина живуть у місті Кам’янське, Дніпропетровської області. Вони познайомилися, швидко вирішили жити разом і майже одразу заговорили про дитину. Але замість очікуваної вагітності їхня історія почалася з втрати.…
19.02.2026
Наталя (29 років) та Антон (32 роки) з Одеси протягом п’яти років жили з діагнозом безпліддя. Причиною став двобічний гідросальпінкс патологія маткових труб, яка унеможливлює природне зачаття та часто потребує хірургічного лікування.…
12.02.2026
Низький оваріальний резерв — одна з найскладніших проблем у сучасній репродуктивній медицині. Жінки з низьким АМГ та слабкою відповіддю на стимуляцію часто отримують обмежену кількість зрілих яйцеклітин або взагалі не доходять до етапу перенесення ембріона.…
30.12.2025
​Ми отримали відзнаку Української народної премії 2025, і для нас це не просто медаль чи диплом. Ця премія унікальна тим, що переможців обирають самі пацієнти. Це тисячі голосів людей, які реально користуються послугами, довіряють своїм лікарям, оцінюють сервіс та безпеку лікування.…
30.12.2025
Повідомляємо актуальний графік роботи медичних центрів «Мати та дитина» у період новорічних та різдвяних свят.…
29.12.2025
​2025 рік для лікарів медичного центру «Мати та дитина» був насиченим навчанням і професійним спілкуванням. Протягом року наші фахівці активно проводили навчальні заходи для лікарів із різних напрямів репродуктивної медицини, гінекології та суміжних спеціальностей.…
29.12.2025
У межах фінального етапу проєкту у грудні 2025 було оголошено дві пари-переможці, які отримали можливість зробити крок до омріяного батьківства за підтримки команди медичного центру «Мати та дитина».…
26.12.2025
Цей клінічний випадок став для лікаря Червак Наталії ще одним підтвердженням того, наскільки важливими є вчасні гінекологічні огляди та уважне ставлення до власного здоров’я.…
22.12.2025
Сонячне Закарпаття. До мене на прийом прийшла жінка 35 років із дуже довгим і непростим шляхом 15 років безпліддя. Основною причиною був чоловічий фактор криптозооспермія. В анамнезі негативний досвід ЕКЗ в іншій клініці: отримано 5 ембріонів, проведено 3 ембріотрансфери, але жоден з них не завершився настанням вагітності.…
22.12.2025
Це історія пацієнтки, яка приїхала до нас із Харкова. Їй 28 років, і її єдиним запитом було завагітніти самостійно, попри всі медичні обмеження.…
22.12.2025
Приходьте
на консультацію
Запис на прийом
0 800 504 205